
Dental veneers are also called dental porcelain laminates or porcelain veneers. They are the custom-made and wafer-thin tooth-colored material shells. They have been designed for covering the teeth’s front surface in order to enhance their appearance as you smile. These tooth-colored shells have been bonded right at the teeth’s front area. They also change in size, length, color and shape.
Dental veneers can be created from porcelain or even from resin composite material. These porcelain veneers are responsible for resisting stains better compared to the resin veneers. In addition, they can better imitate the light that reflects the natural teeth properties. Resin veneers have been thinner and they need some tooth surface removal before placing them. Here at Doctor Smile Dental Pattaya Clinic, we will discuss everything about this process before we get started.
In the first place, you may not be totally aware of the other oral problems that dental veneer can fix. Through Doctor Smile Dental Clinic, you are going to learn about them and determine if you can have dental veneer soon. These types of problems are the following:

The process of obtaining a dental veneer usually needs 3 visits to our cosmetic dentist. The first visit is for consultation, the second is for making and application of the veneers. Many teeth or one tooth may simultaneously get into veneering process such as the following:
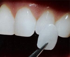
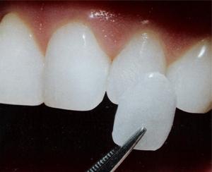
Treatment Planning and Diagnosis – this has been the very first step which includes active participation (you and our dentist). You have to explain to our expert dentist about the result you wanted to achieve. There are some important things that should be observed by the dentist. Preparation – for veneer preparation, our licensed dentists will be removing some amount of enamel out of your tooth surface.
This is usually the amount almost equivalent to the veneer’s thickness which has been embedded to your tooth surface. After that, our dentist will be creating a model of the tooth. It will be sent to the dental laboratory to construct the veneer. In most circumstances, the process takes one to two weeks for us to receive these veneers back. Bonding – before your dental veneer is permanently placed on your tooth, we are going to put it temporarily on the tooth. This is to examine the veneer’s color and fit. Expect that the dentist will be removing and trimming that veneer if necessary to make sure that it perfectly fits. The next step is to prepare the tooth in receiving the veneer. The dentist will be cleaning, polishing and etching your tooth. This way, the tooth will get roughened to let a strong process of bonding. There will be special cement applied to your veneer before placing it on the tooth.
The final steps include elimination of the excess cement, evaluation of the bite and making final adjustment to your dental veneers if necessary. Our dentist will be asking you to come back for a follow up consultation after some weeks. This is because he or she is going to check if the gums respond well to the presence of the veneer.